
病理組織学的解析結果
|
動物/週齢 |
C57BL/6Jマウス/24週齢 |
|
解剖場所 |
石部生育場 |
|
解剖日 |
2024/12/10-13 |
|
性別 |
♂♀ |
|
餌条件 |
CE-2, HFD32, QF |
|
n数 |
各群5匹/雌雄合計30匹 |
|
病理組織学的解析対象臓器 |
肝臓, 腎臓(HE染色後スコアリングにて評価) |
|
統計解析 |
食餌間差:Kruskal-Wallis/性差:Mann–Whitney |
病理組織学的評価 総括表

肝臓:
• HFD・QFともに肝細胞の脂肪化を誘発したが、HFDにおいて雌雄ともにより顕著であった
• 沈着した脂肪滴は雌においてより大きいサイズを呈した
• 炎症性細胞浸潤は雄ではごく軽度の誘導が示された
腎臓:
• HFD・QFにより、雄における尿細管上皮細胞への空胞変性が観察された
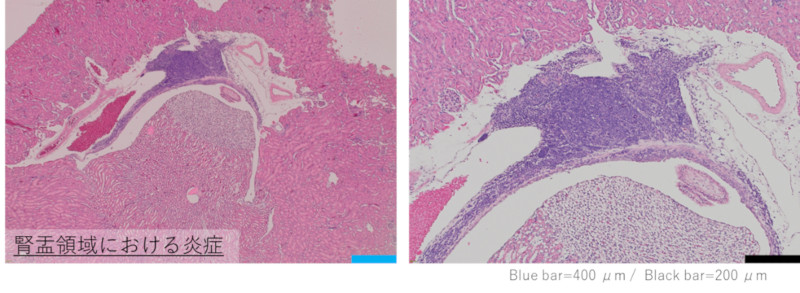
• 腎盂領域における炎症が雌のHFD群においてより高頻度に観察された
• 糸球体における病変はHFD・QFによって、わずかに増加する傾向がみられた
肝臓


*: vs control within each sex
#: HFD vs QF within each sex
†: between sexes within the same diet
ND: Not detected
HFD
• 肝細胞の脂肪化が高度
• 特に♀は大滴性の脂肪化
QF
• 肝細胞の脂肪化が低~中度
• ♀は♂より減弱
炎症性細胞浸潤
• いずれも極軽度
腎臓/♂


*: vs control within each sex
#: HFD vs QF within each sex
†: between sexes within the same diet
ND: Not detected
HFD・QF
• 尿細管上皮細胞に空胞変性
• ♂で顕著
腎盂領域における炎症
• →HFD♂では2例
腎臓/♀


*: vs control within each sex
#: HFD vs QF within each sex
†: between sexes within the same diet
ND: Not detected
HFD
• 尿細管上皮細胞に空胞変性
• 程度はごく軽度
腎盂領域における炎症
• →HFD♀では2例(極軽度~中度)
• QF♀では2例(極軽度)
尿円柱
• いずれも極軽度
腎盂領域における炎症について


• ♀で頻度・程度共に高度
• HFDによって誘発されやすい可能性あり
腎臓/糸球体


ND: Not detected
HFD・QF
• 糸球体病変がごく軽度
お問い合わせ
お気軽に下記からお問い合わせください。営業担当よりご連絡させていただきます。



